Zrujnował zęby kilkudziesięciu osobom. Ortodonta z Torunia zabiera głos i przeprasza

Zabierał ludziom uśmiech, marnował ich czas i pieniądze. Maciej K., ortodonta działający na północy Polski, mógł zaszkodzić nawet kilkudziesięciu osobom. Teraz, nieoczekiwanie, przeprasza pacjentów. W komentarzu udzielonym Wirtualnej Polsce do winy się jednak nie przyznaje. Twierdzi, że robił wszystko... z dobrego serca.

Doktor Maciej K. skomentował oskarżenia pacjentek, które swoje historie przekazały redakcji WP
Źródło zdjęć: © East News | Bartosz Krupa/East News

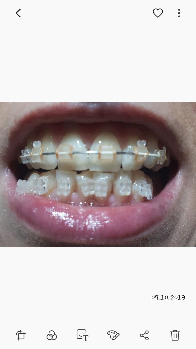
Pierwsza była Paulina, w ślad za nią od października skontaktowało się z nami łącznie kilkudziesięciu pacjentów doktora Macieja K. Wszystkich łączą wadliwie założone aparaty dentystyczne. Osoby, które trafiły do jego gabinetu, traciły zęby, oszczędności życia i szansę na uśmiech. Po wizytach, jak twierdzą, pozostał im "ból, którego nie da się wycenić".

"To wszystko wina choroby"

Ortodonta długo unikał kontaktu. Nie odbierał telefonów, nie odpisywał na wiadomości. Aż do teraz. Lekarz wreszcie zabrał głos. - Przepraszam, że dopiero teraz się odzywam. To wszystko wina choroby, dopiero wyszedłem ze szpitala - tłumaczy się na wstępie.

Rozmowę z doktorem zaczynamy od pytania, dlaczego dopiero teraz zdecydował się na kontakt z naszą redakcją. - Od połowy października byłem w szpitalu. Zdiagnozowano u mnie nowotwór płuc. Dwa lata temu trafiłem na stół, wycięto mi jedno z płuc. Powinienem o siebie dbać, a ja chodziłem bez czapki, paliłem papierosy. Zgrywałem chojraka - tłumaczy.

Zobacz także: Bez rękawiczek i dezynfekcji. Pielęgniarka z łodzi odsunięta od pracy

"Robiłem ukłon w stronę pacjentów"

- Przez to wszystko nabawiłem się sepsy i innych problemów. Stąd moje nieobecności, przekładanie spotkań z pacjentami, a wreszcie moja wizyta w szpitalu, która trwała blisko miesiąc - kontynuuje.

Pytany wprost o stawiane mu zarzuty dotyczące m.in. zakładania aparatów ortodontycznych już na pierwszych wizytach, Maciej K. nie zaprzecza. - Takie sytuacje miały miejsce. Dotyczyły one wad kosmetycznych. Robiłem ukłon w stronę pacjentów, którzy chcieli aparat "na już" - mówił.

Nie wypierał się też "promocyjnych cen" na wspomniane aparaty. - Zdarzali się pacjenci, którzy nie byli zabezpieczeni finansowo. Chciałem im pomóc i trochę się na tym przejechałem. Mówią: gdy masz za dobre serce, to trzeba mieć twardy tyłek - podkreśla.

Inną wersję wydarzeń przedstawia Paulina, która jako pierwsza zdecydowała się opowiedzieć o swoim leczeniu u Macieja K. - Powiedział, że od razu można zakładać aparat i ma dla mnie promocyjną cenę. Kosztowało to 800 złotych za górny łuk. Nie robił mi badań, wycisków, nic. Dałam się nabrać - opowiada.

Był listopad 2018 roku. Na kolejną wizytę, nasza czytelniczka czekała do lutego 2019 roku. - Moje zęby już wtedy się nie układały. Góra pracowała, ale nic do siebie nie pasowało. Spotkanie też zostało przeprowadzone dopiero po tym, jak zagroziłam skargą do Izby Lekarskiej w Toruniu. Na tej wizycie doktor K. założył mi także dolny łuk aparatu - kontynuuje Paulina.

Gdy pytamy o skargi na brak kontaktu i odwoływane wizyty, doktor mówi, że na taki przebieg zdarzeń nałożyło się kilka czynników. - Poza wspomnianą chorobą, sytuacja wymagała ode mnie także przeniesienia się bliżej moich rodziców. Mieszkają pod Grudziądzem, stąd moje przenosiny z Bydgoszczy, przez Toruń do Grudziądza - tłumaczy się dość gęsto.

Przesuwanie wizyt? Winny lekarz, ale też kliniki

- Moja nieobecność bądź przesuwanie wizyt to także wina współpracy z klinikami, w których pracowałem. Często dowiadywałem się, że to ja nie spełniam jakiś warunków, ale też moi pracodawcy nie zapewniali mi podstawowych narzędzi i miejsca do pracy, co kończyło się zmianą lokalu - dodaje.

Skontaktowaliśmy się z kliniką Dental Center, w której pracował Maciej K. - Doktor często przekładał wizyty i mieliśmy coraz więcej niezadowolonych pacjentów. Myśleliśmy nad wypowiedzeniem mu umowy, gdy nagle przed Wielkanocą w 2018 roku przyszedł i zrobił aferę, po której trzasnął drzwiami. Zostawił nas z pacjentami mówiąc, że "nie ponosi on za to żadnej odpowiedzialności" - podkreśliła Nataliia Okhrymovych, prezes kliniki.

Maciej K. nie zgadza się z tym, że nie informował pacjentów o odwoływaniu wizyt. - Zawsze starałem się robić to osobiście. Taki obowiązek ma też klinika i nie wiem, dlaczego nie zostało to dopełnione. Często pacjenci też się obrażali, nie odpowiadali na moje wiadomości, a ja czekałem - mówi.

Lekarz odniósł się także do zarzutów związanych z wadliwym leczeniem. Zaznaczył, że odklejanie się zamków i praca łuków to częsty problem każdego ortodonty. - To się po prostu zdarza. Pacjenci są o tym informowani przed podjęciem leczenia. Przyznaję, że zdarzały się sytuacje, gdy aparat nie spełniał wymagań pacjenta. Wtedy też przedłużaliśmy leczenie, trzeba było działać - podkreślił.

Oprócz Pauliny na naszą skrzynkę napisała także M. Jej "leczenie" u Macieja K. miało trwać półtora roku. - Pan doktor sprawiał wrażenie specjalisty, był miły. Gdy miałam obawy przed założeniem aparatu, przyprowadził do gabinetu recepcjonistkę oraz swojego asystenta, którzy założyli u niego aparat. De facto po czasie zostali z niczym, tak jak i ja. Zaufałam mu i, jak się okazało, był to ogromny błąd - relacjonuje kobieta.

Jak dodaje, nie wiedziałaby o nieprawidłowościach w leczeniu, gdyby nie zasięgnęła opinii innego lekarza. - Gdy latem dowiedziałam się o ubytkach podczas wizyty stomatologicznej, postanowiłam skorzystać z wizyty u innego ortodonty. Poinformowano mnie o licznych nieprawidłowościach. Moja wada wymagałaby interwencji chirurgicznej przed założeniem aparatu, a zamki są źle przyklejone - opisuje M.

Częstotliwość spotkań? "Zależy od aparatu"

Dentysta odpowiedział też na wypowiedź profesora Piotra Fudaleja, który skrytykował sposób założenia aparatu u Pauliny. - Aparat, który zakładamy pacjentowi, jest zależny od jego potrzeby i wady. Często wystarczy aparat sekcyjny, by naprawić krzywą "dwójkę". Częstotliwość spotkań też zależy od rodzaju aparatu. Niektóre pozwalają na wizyty nawet raz na trzy miesiące - tłumaczył Maciej K.

  • Obraz
  • Obraz
[1/2] Źródło zdjęć: dziejesie.wp.pl | Paulina

- Pacjenci też nie zawsze są zadowoleni z koloru gumek, który zmienia się po użytkowaniu. Tu winny jest upływ czasu, zła dieta, a także to, czy ktoś pali papierosy. Czynników jest wiele, ale zawsze prosiłem, by zgłaszano się do mnie z takimi problemami. Takich osób było zawsze kilka w miesiącu. Niestety, przez moją niedyspozycję zdrowotną w ostatnim czasie nie mogłem się tym zająć jak należy - zaznaczył.

Tu jednak nasuwa się pytanie. Czy zaniedbanie przez Macieja K. systematycznych wizyt nie miało wpływu na to, co aktualnie odczuwa Paulina? - Założone gumki były białe, a przez brak ich wymiany teraz są żółte. Wygląda to obrzydliwie - podkreślała na początku listopada nasza czytelniczka.

Ubezpieczyciel? "Nie wiedziałem, że jestem potrzebny"

Maciej K. nie wiedział o wszczętym postępowaniu wyjaśniającym w jego sprawie. Jak tłumaczy, o wszystkim dowiedział się dopiero od nas. - Ja dopiero dwa dni temu wróciłem do domu. Nie wiedziałem o działaniach Okręgowej Izby Lekarskiej w Koszalinie, a także zainteresowaniu się moją osobą przez Rzecznika Praw Pacjenta - zapewniał dentysta.

Pytany o brak kontaktu z ubezpieczycielem, K. jest mocno zdziwiony. - Otrzymywałem informację o wnioskach, które do nich wpływają, ale nie wspomniano o tym, że jestem tam do czegokolwiek potrzebny - mówi.

Przypomnijmy, do ubezpieczyciela lekarza, firmy INTER Polska, zgłosiło się kilkanaście osób z wnioskami o wypłatę odszkodowania. Wszystkie wnioski spotkały się z odmową. Taką decyzję firma motywowała brakiem kontaktu z doktorem Maciejem K.

  • Obraz
  • Obraz
[1/2] Źródło zdjęć: dziejesie.wp.pl | Ania

Maciej K.: "Chcę przeprosić..."

Jak zapewnił, czuje skruchę z powodu swojego zachowania. - Chcę przeprosić wszystkich, którzy poczuli się skrzywdzeni bądź pozostawieni. Nie było to moją intencją, a było to podyktowane, co podkreślam, moim stanem zdrowia. Powinienem poinformować wszystkich wcześniej, nie zgrywać bohatera. Niestety wyszło inaczej - tłumaczy lekarz.

- Chętnie spotkam się z każdym, kto czuje się pokrzywdzony. Jestem pod telefonem, zapraszam do mojego gabinetu. Obecnie będę przyjmował w Toruniu i Wąbrzeźnie. Chcę znaleźć rozwiązane, które zadowoli wszystkich - podtrzymuje Maciej K.

_Doktor nie zgodził się na publikację jego nazwiska oraz wizerunku. Pragnie pozostać anonimowy._

Wy również leczyliście się u tego ortodonty? Poinformujcie nas na dziejesie.wp.pl. Czekamy na Wasze historie.

Źródło artykułu:
Wybrane dla Ciebie
Hołownia w Etiopii. Kuriozalny wpis polityka Polski 2050
Hołownia w Etiopii. Kuriozalny wpis polityka Polski 2050
Rosyjski dowódca oskarżony. Znak "Z" wyciął na czole więźnia
Rosyjski dowódca oskarżony. Znak "Z" wyciął na czole więźnia
Impas koalicji Tuska? Francuski dziennik ocenia dwa lata rządów
Impas koalicji Tuska? Francuski dziennik ocenia dwa lata rządów
Japonia. Kolejne ataki niedźwiedzi. Nie żyje 79-latka
Japonia. Kolejne ataki niedźwiedzi. Nie żyje 79-latka
Tak będzie wyglądał sylwester u Rydzyka. Trzydniowa impreza z regulaminem
Tak będzie wyglądał sylwester u Rydzyka. Trzydniowa impreza z regulaminem
Porażka przy rozliczaniu Alvina Gajadhura. Doradca prezydenta niewinny
Porażka przy rozliczaniu Alvina Gajadhura. Doradca prezydenta niewinny
Rosyjski szpieg w Wiedniu? Ukraina domaga się jego ekstradycji
Rosyjski szpieg w Wiedniu? Ukraina domaga się jego ekstradycji
Biuro premiera Izraela: Zidentyfikowano ciała zwrócone przez Hamas
Biuro premiera Izraela: Zidentyfikowano ciała zwrócone przez Hamas
PiS składa zawiadomienie ws. Żurka. Ziobro opublikował pismo
PiS składa zawiadomienie ws. Żurka. Ziobro opublikował pismo
"Wypiłem jedno piwo". 27-latek wylądował na drzewie, policja pokazała zdjęcia
"Wypiłem jedno piwo". 27-latek wylądował na drzewie, policja pokazała zdjęcia
Tragedia w Walii. Dziewięciomiesięczne dziecko zaatakowane przez psa
Tragedia w Walii. Dziewięciomiesięczne dziecko zaatakowane przez psa
Kolejna śmierć dziecka w Warszawie. Dwie tragedie w ciągu godziny
Kolejna śmierć dziecka w Warszawie. Dwie tragedie w ciągu godziny