Uważaj na swojego pupila. Sadysta strzela do zwierząt z wiatrówki

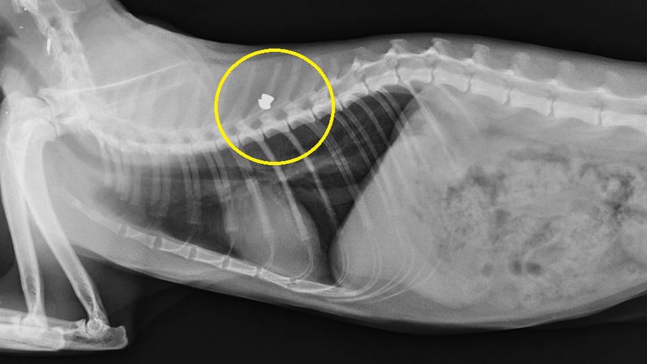
Właściciel jednej z lecznic weterynaryjnych w gminie Michałowice zamieścił na Facebooku zdjęcia kotów postrzelonych z wiatrówki. W ciałach ranionych zwierząt znaleziono ołowiane pociski. Do podobnych zdarzeń dochodziło już wcześniej.

Obraz
Źródło zdjęć: © facebook

W ciągu ostatnich dwóch dni do lecznicy trafiły dwa inne koty. Oba postrzelone. Policjanci z komendy w Michałowicach twierdzą, że sygnały o postrzelonych kotach z Komorowa i okolic docierały do nich już wcześniej, jednak do tej pory nikt nie złożył zawiadomienia w tej sprawie.

- W chwili, kiedy mamy podejrzenie, że nasze zwierzę zostało postrzelone z wiatrówki w pierwszej kolejności udajemy się z czworonogiem do weterynarza, a następnie zawiadamiamy policję - powiedziała Karolina Kańka z pruszkowskiej policji w rozmowie z POP Radiem.

Obraz
© facebook | Janusz Lewin
Wybrane dla Ciebie
Alkohol na stacjach benzynowych? "Kupuje go tam 70 proc. uzależnionych"
Alkohol na stacjach benzynowych? "Kupuje go tam 70 proc. uzależnionych"
Zniknął obraz Picassa. Zaginął podczas transportu
Zniknął obraz Picassa. Zaginął podczas transportu
Rostów nad Donem: 15 ukraińskich jeńców skazanych na kolonię karną
Rostów nad Donem: 15 ukraińskich jeńców skazanych na kolonię karną
Tylko Zełenski wyszedł do dziennikarzy. Oto co napisał Trump
Tylko Zełenski wyszedł do dziennikarzy. Oto co napisał Trump
"Bolesne punkty" Rosji. Zełenski przybył do USA z mapami
"Bolesne punkty" Rosji. Zełenski przybył do USA z mapami
Wyniki Lotto 17.10.2025 – losowania Eurojackpot, Multi Multi, Ekstra Pensja, Kaskada, Mini Lotto
Wyniki Lotto 17.10.2025 – losowania Eurojackpot, Multi Multi, Ekstra Pensja, Kaskada, Mini Lotto
Po rozmowach Trumpa z Zełenskim w Białym Domu. Kijów bez broni z USA
Po rozmowach Trumpa z Zełenskim w Białym Domu. Kijów bez broni z USA
Hamas gotowy na wieloletni rozejm. Z broni jednak nie zrezygnuje
Hamas gotowy na wieloletni rozejm. Z broni jednak nie zrezygnuje
Sikorski odpowiada Węgrom. "To się nazywa samoobrona"
Sikorski odpowiada Węgrom. "To się nazywa samoobrona"
Nawrocki ujawni majątek. "Nie ma nic do ukrycia"
Nawrocki ujawni majątek. "Nie ma nic do ukrycia"
"Lekkie mdłości". Tusk o spotkaniu Hołowni z Kaczyńskim
"Lekkie mdłości". Tusk o spotkaniu Hołowni z Kaczyńskim
Tusk: nie daliście mi zwycięstwa
Tusk: nie daliście mi zwycięstwa