Strach przed legionellą. Główny Inspektorat Sanitarny uspokaja

Problem z legionellą, która w połowie sierpnia zaczęła rozprzestrzeniać się w Polsce, staje się coraz bardziej poważny. Obecność bakterii stwierdzono już w czterech województwach. Główny Inspektorat Sanitarny radzi, jak zmniejszyć ryzyko zachorowania.

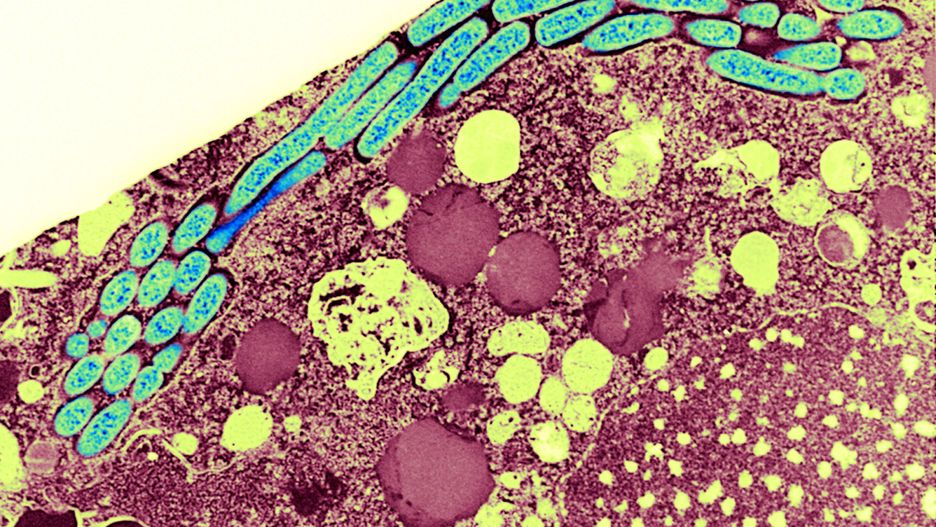
GIS podaje kilka zasad, które pozwolą uniknąć zakażenia legionelląGIS podaje kilka zasad, które pozwolą uniknąć zakażenia legionellą
Źródło zdjęć: © PAP | Photoshoot
Barbara Kwiatkowska

Eksperci zapewniają, że legionelloza nie jest chorobą przenoszoną z człowieka na człowieka, nie trzeba trzymać się na dystans od ludzi. Nie występuje też w wodzie, więc nie ma powodów, by bać się przyjmowania płynów. Jest kilka sposobów na zminimalizowanie ryzyka zakażenia. Wystarczy poznać najważniejsze zasady i przestrzegać wskazówek dotyczących urządzeń zawierających wodę.

Bakteria zamieszkuje zazwyczaj stawy, jeziora, rzeki i osiada w wilgotnej glebie. Może też kolonizować systemy wodociągowe oraz urządzenia zawierające wodę.

Warto więc, jak przestrzegają inspektorzy sanitarni, regularnie czyścić i dezynfekować urządzenia natryskowe w domu. Eksperci zalecają, by po dłuższej nieobecności w domu przeczyścić kran i elementy prysznica. Wystarczy odkręcić wodę na dwie minuty, zanim zacznie się jej używać.

Dalsza część artykułu pod materiałem wideo

Potężne ulewy i osunięcia ziemi we Włoszech. Popularny kierunek turystów pod wodą

Legionelloza. Główny Inspektorat Sanitarny radzi, jak się ustrzec

Podobnie należy postąpić w hotelu. Nigdy nie wiemy, od jak dawna przewody wodociągowe nie były użytkowane, a ich wnętrza nie stały się środowiskiem kolonii legionelli.

Przepłukania co jakiś czas wymagają urządzenia grzewcze. Warto utrzymywać w nich temperaturę wody powyżej 60 stopni Celsjusza. Bakteria namnaża się w środowisku o temperaturze od 20 do 50 stopni.

Klimatyzację koniecznie trzeba serwisować lub czyścić samemu zgodnie ze wskazówkami producenta. Zalecana jest również dezynfekcja oraz czyszczenie wszelkich urządzeń zawierających wodę.

Kryjówką legionelli może być także jacuzzi. Przydatną wskazówką do prewencji może być podstawowe pytanie: od jak dawna nikt nie używał prysznica, basenu, natrysku, pojemnika z wodą pitną, kranu czy ogrodowego węża, a także czy ulubione przez dzieci w upalne dni miejskie kurtyny wodne nie czekały zbyt długo na ponowne uruchomienie.

Korzystając z toalety w nieznanym miejscu, również warto przestrzegać jednej zasady. Spłukiwania należy dokonywać przy opuszczonej desce sedesowej tak, by przypadkiem nie nabrać do płuc wodnego aerozolu z muszli.

Nasilone zakażenia legionellą

Legionella nie jest nową bakterią. Zawsze egzystowała w zaciszu wodociągów. Jednak przyczyna ostatniego nasilenia zachorowań i zgonów nie jest znana.

Według ekspertów mało prawdopodobne jest, by niezależnie od siebie w kilku miejscach, nagle, z taką częstotliwością zaczęły występować zachorowania wywołane bakterią.

Źródło artykułu: WP Wiadomości
Wybrane dla Ciebie
Rozmowy ws. Ukrainy na Kremlu. "Konstruktywne i ważne"
Rozmowy ws. Ukrainy na Kremlu. "Konstruktywne i ważne"
Trump o Grenlandii. Mówił o współpracy z NATO
Trump o Grenlandii. Mówił o współpracy z NATO
"Obserwujemy ich". Flota USA kieruje się w stronę Iranu
"Obserwujemy ich". Flota USA kieruje się w stronę Iranu
Działo się w nocy. Delegacja Trumpa u Putina na rozmowach
Działo się w nocy. Delegacja Trumpa u Putina na rozmowach
Trump o sojusznikach w Afganistanie. "Byli z dala od linii frontu"
Trump o sojusznikach w Afganistanie. "Byli z dala od linii frontu"
Trump o Radzie Pokoju. Wycofuje zaproszenie dla Carneya
Trump o Radzie Pokoju. Wycofuje zaproszenie dla Carneya
UE stawia na niezależność. Von der Leyen o zwrocie ws. Grenlandii
UE stawia na niezależność. Von der Leyen o zwrocie ws. Grenlandii
Trump zapowiada wizytę w Chinach. "Nie mogę się doczekać"
Trump zapowiada wizytę w Chinach. "Nie mogę się doczekać"
Spotkanie wysłanników Trumpa z Putinem. Tematem Ukraina
Spotkanie wysłanników Trumpa z Putinem. Tematem Ukraina
Trump po powrocie z Davos. "Putin i Zełenski chcą porozumienia"
Trump po powrocie z Davos. "Putin i Zełenski chcą porozumienia"
33-latek latami udawał pilota. Setki darmowych lotów w USA
33-latek latami udawał pilota. Setki darmowych lotów w USA
Zgwałcił i zabił partnerkę. Postawiono mu zarzuty
Zgwałcił i zabił partnerkę. Postawiono mu zarzuty