Trwa ładowanie...
d2ejtaa
Temat

Pasożyt

Lekarka nazwała dziecko w łonie matki "pasożytem". W sieci zawrzało
19 marca 2024, 09:24

Lekarka nazwała dziecko w łonie matki "pasożytem". W sieci zawrzało

Podczas debaty o prawie do aborcji, zorganizowanej w Kanale Zero, goszcząca w studiu ginekolożka wygłosiła mocno kontrowersyjną tezę. Według dr Anny Orawiec ciąża to pasożytnictwo, na które świadomie decydują się kobiety. Wypowiedź lekarki odbiła się szerokim echem.

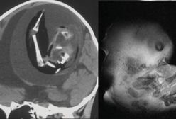
Nienarodzony bliźniak był w mózgu siostry. Został usunięty
10 marca 2023, 13:36

Nienarodzony bliźniak był w mózgu siostry. Został usunięty

Płód nieradzonego bliźniaka rozwinął się w mózgu jednorocznego dziecka. Takiego odkrycia dokonali lekarze z Szanghaju, którzy przyjęli do szpitala dziewczynkę z opóźnieniem motorycznym oraz powiększonym obwodem głowy. Pasożytniczy płód został chirurgicznie usunięty z czaszki dziecka.

Nowy gatunek kleszcza w Polsce. Haemaphysalis concinna przenosi groźne choroby
13 września 2019, 11:27

Nowy gatunek kleszcza w Polsce. Haemaphysalis concinna przenosi groźne choroby

W Polsce wykryto siedliska niespotykanego jak dotąd w naszym kraju gatunku kleszcza. Haemaphysalis concinna może przenosić groźne choroby i być niebezpieczny dla ludzi. Eksperci wciąż nie zbadali wszystkich roznoszonych przez te pasożyty patogenów.

Kilkanaście pasożytów w ciele żołnierza, który uciekł z Korei Północnej
18 listopada 2017, 19:25

Kilkanaście pasożytów w ciele żołnierza, który uciekł z Korei Północnej

- Czegoś takiego nie widziałem przez ponad dwadzieścia lat przepracowanych w zawodzie chirurga. Takie przypadki znam tylko z podręcznika - powiedział lekarz operujący żołnierza, który kilka dni temu przedostał się na teren Korei Południowej. Z jego układu pokarmowego usunięto kilkanaście pasożytów. W tym jednego o długości 27 cm.

Pluskwy w pociągu
12 listopada 2012, 14:45

Pluskwy w pociągu

Pasażer dotkliwie pogryziony przez pasożyty

d2ejtaa
Kanada: pasożyt w wodzie zabija ludzi
4 maja 2001, 07:12

Kanada: pasożyt w wodzie zabija ludzi

W kanadyjskim miasteczku North Battleford trzy osoby zmarły, a prawie 100 innych choruje po spożyciu zakażonej wody. Władze miejscowości uważają, że przyczyną zgonów jest cryptosporidium, mikroskopijny pasożyt żyjący w jelitach ludzi i zwierząt. Choroba objawia się m.in. biegunką, skurczami żołądka i gorączką.

d2ejtaa
d2ejtaa
Więcej tematów

Pobieranie, zwielokrotnianie, przechowywanie lub jakiekolwiek inne wykorzystywanie treści dostępnych w niniejszym serwisie - bez względu na ich charakter i sposób wyrażenia (w szczególności lecz nie wyłącznie: słowne, słowno-muzyczne, muzyczne, audiowizualne, audialne, tekstowe, graficzne i zawarte w nich dane i informacje, bazy danych i zawarte w nich dane) oraz formę (np. literackie, publicystyczne, naukowe, kartograficzne, programy komputerowe, plastyczne, fotograficzne) wymaga uprzedniej i jednoznacznej zgody Wirtualna Polska Media Spółka Akcyjna z siedzibą w Warszawie, będącej właścicielem niniejszego serwisu, bez względu na sposób ich eksploracji i wykorzystaną metodę (manualną lub zautomatyzowaną technikę, w tym z użyciem programów uczenia maszynowego lub sztucznej inteligencji). Powyższe zastrzeżenie nie dotyczy wykorzystywania jedynie w celu ułatwienia ich wyszukiwania przez wyszukiwarki internetowe oraz korzystania w ramach stosunków umownych lub dozwolonego użytku określonego przez właściwe przepisy prawa.Szczegółowa treść dotycząca niniejszego zastrzeżenia znajduje siętutaj