Czarny grzyb po COVID-19. Już nie tylko w Indiach. Objawy są charakterystyczne

Czarny grzyb atakuje ozdrowieńców po COVID-19. Dotychczas przypadki zakażenia agresywnym grzybem wykrywano głównie w Indiach. Ale w ostatnich dniach pojawiły się również doniesienia z Urugwaju i Iraku. Śmiertelność to nawet 50 proc.

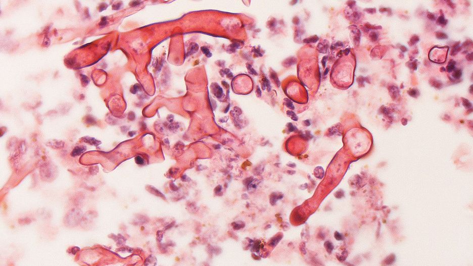
Zakażenie czarnym grzybem jest groźne dla ozdrowieńców po  COVID19Zakażenie czarnym grzybem jest groźne dla ozdrowieńców po COVID19
Źródło zdjęć: © Flickr | Yale Rosen

Czarny grzyb w Iraku i Urugwaju

O dwóch zakażeniach czarnym grzybem w Urugwaju poinformował dziennik El Pais, o zakażeniach informują też media w Iraku. Choroba jest agresywna i atakuje osoby z osłabioną odpornością, m.in. ozdrowieńców po COVID-19.

- Pacjentka, która w kwietniu przeszła COVID-19 w maju zaczęła odczuwać ból w twarzy. Dyskomfort wzrastał, a w miarę upływu kolejnych dni pojawiły się na niej charakterystyczne plamy. Po badaniu laboratoryjnym potwierdzono, że ma mukormykozę, rzadką infekcję, którą powoduje tzw. czarny grzyb. Została przewieziona do Montevideo, gdzie przeszła operację - informuje El Pais. To drugi wykryty przypadek w tym amerykańskim kraju w ostatnim czasie.

Niepokojące doniesienia napływają również z Iraku. Tamtejsze ministerstwo zdrowia poinformowało o pięciu wykrytych zakażeniach czarnym grzybem. Jeden pacjent zmarł. To 78-letni mężczyzna z prowincji Anbar, który zaraził się koronawirusem dwa tygodnie wcześniej.

- Chwilę po tym, jak wyzdrowiał z COVID-19, został przewieziony do szpitala. Po kilku dniach w placówce został poddany licznym badaniom i okazało się, że zaraził się czarnym grzybem. W ciągu ostatnich trzech tygodni był leczony i był stale monitorowany przez zespół lekarzy - mówi Herish Sayid, zastępca szefa dyrekcji zdrowia w Sulaimani w północno-wschodnim Iraku.

Czarny grzyb w Indiach

Największe spustoszenie czarny grzyb sieje w Indiach, które przechodzą aktualnie przez najgorszą falę zakażeń koronawirusem od początku pandemii. W sumie w dotkniętym pandemią kraju odnotowano dotychczas 9 tys. przypadków czarnego grzyba u ludzi. Śmiertelność na wywołaną czarnym grzybem mukormykozę wynosi nawet 50 proc. Władze zdecydowały o wprowadzeniu w kraju stanu epidemii.

Czarny grzyb. Co to jest?

Czarny grzyb występuje naturalnie w środowisku i rzadko notuje się zakażenia ludzi. Jest jednak szczególnie groźny dla osób z obniżoną odpornością, dlatego wzrost zakażeń odnotowano w ostatnim czasie głównie wśród ozdrowieńców po COVID-19. Ale narażeni są również pacjenci onkologiczni czy nosiciele wirusa HIV oraz cukrzycy. Grzyb można znaleźć m.in w glebie, na śmietnikach, gdzie rozkłada się żywność czy na gnojowiskach.

Wywoływana przez czarnego grzyba mukormykoza to choroba, która początek infekcji ma w nosie i zatokach, następnie atakuje płuca, ale może również przedostać się do mózgu i oczu.

Do zakażenia czarnym grzybem dochodzi najczęściej przez błony śluzowe górnych dróg oddechowych, ale też np. przez uszkodzoną skórę. Wyróżnia się pięć postaci choroby:

  • nosowo-mózgową,
  • płucną,
  • żołądkowo-jelitową,
  • skórną,
  • rozsianą.

Czarny grzyb. Objawy zakażenia

Objawy zakażenia czarnym grzybem obejmują najczęściej miejsce, w którym przedostał się do organizmu. Jeśli grzyb odłoży się w nosie lub zatoce i rozprzestrzeni się na mózg, objawy i oznaki mogą obejmować:

  • jednostronny ból oka,
  • ból głowy,
  • ból twarzy,
  • drętwienie,
  • gorączkę,
  • utratę węchu,
  • zatkany nos lub katar.

Osoba może wyglądać jakby przechodziła zapalenie zatok. Twarz może wyglądać na opuchniętą z szybko postępującymi charakterystycznymi „czarnymi plamami" na nosie lub górnej części jamy ustnej. Jedno oko może wyglądać na opuchnięte i wybrzuszone.

Sen jest kluczowym elementem w dochodzeniu do zdrowia po COVID-19

Wybrane dla Ciebie
Polacy o Nawrockiej. Ocenili, jak sobie radzi w roli pierwszej damy
Polacy o Nawrockiej. Ocenili, jak sobie radzi w roli pierwszej damy
Ciało młodej kobiety w windzie. Prokuratura postawiła zarzuty
Ciało młodej kobiety w windzie. Prokuratura postawiła zarzuty
Noblistka wychwala Trumpa. "Wenezuelczycy są mu wdzięczni"
Noblistka wychwala Trumpa. "Wenezuelczycy są mu wdzięczni"
Hamas przekazał trumnę z ciałem kolejnego zakładnika. Co z resztą?
Hamas przekazał trumnę z ciałem kolejnego zakładnika. Co z resztą?
33-latek z Luizjany aresztowany. Miał brać udział w ataku Hamasu
33-latek z Luizjany aresztowany. Miał brać udział w ataku Hamasu
Axios o spotkaniu Trump-Zełenski. "Nikt nie krzyczał, ale było ciężko"
Axios o spotkaniu Trump-Zełenski. "Nikt nie krzyczał, ale było ciężko"
Prognoza IMGW na zimę. Czeka nas "zima stulecia"?
Prognoza IMGW na zimę. Czeka nas "zima stulecia"?
Alkohol na stacjach benzynowych? "Kupuje go tam 70 proc. uzależnionych"
Alkohol na stacjach benzynowych? "Kupuje go tam 70 proc. uzależnionych"
Zniknął obraz Picassa. Zaginął podczas transportu
Zniknął obraz Picassa. Zaginął podczas transportu
Rostów nad Donem: 15 ukraińskich jeńców skazanych na kolonię karną
Rostów nad Donem: 15 ukraińskich jeńców skazanych na kolonię karną
Tylko Zełenski wyszedł do dziennikarzy. Oto co napisał Trump
Tylko Zełenski wyszedł do dziennikarzy. Oto co napisał Trump
"Bolesne punkty" Rosji. Zełenski przybył do USA z mapami
"Bolesne punkty" Rosji. Zełenski przybył do USA z mapami